Veja o que o tratamento Invisalign® pode fazer.
Escolha qualquer tipo de caso abaixo e deslize entre ‘Antes’ e ‘Depois’
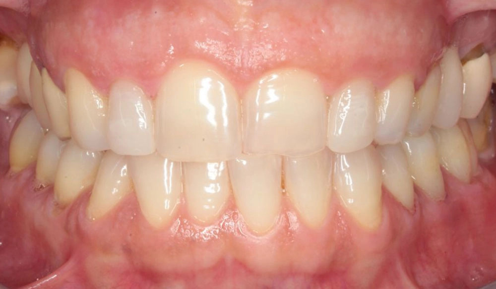
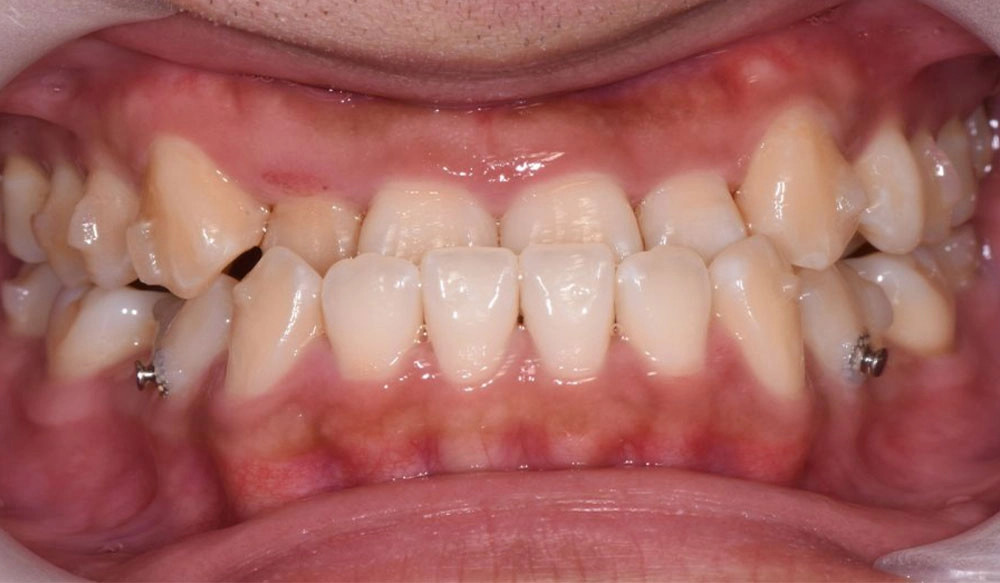
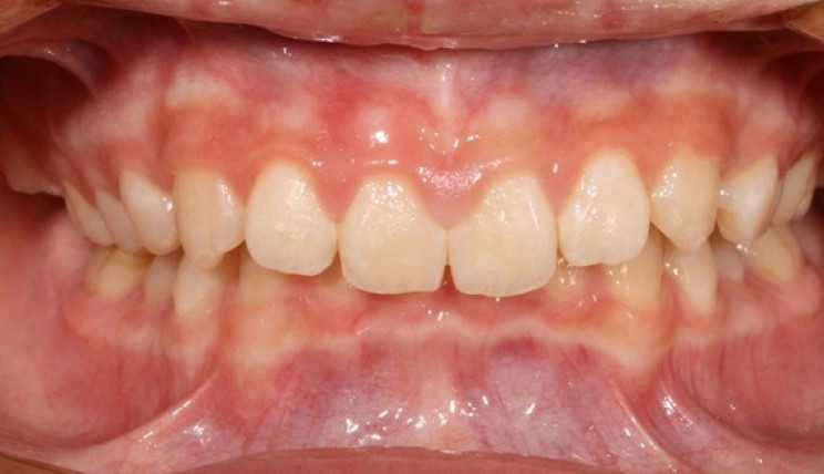
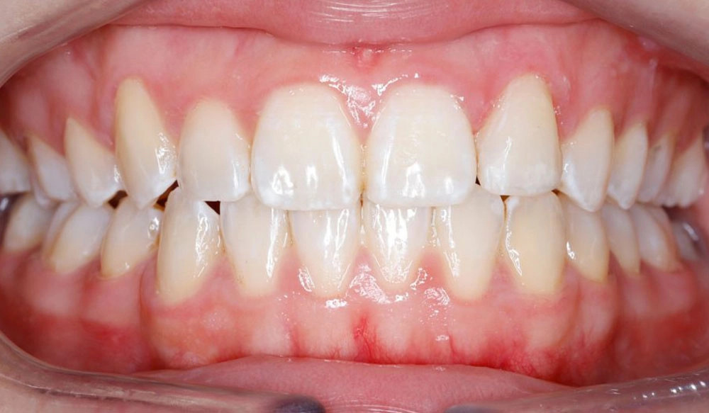
Class II
Class III
Mordida cruzada anterior
Espaçamento
Mordida aberta
Apinhamento dentário
Mordida profunda
Extração
Avanço mandibular
Discrepância na linha média
Arcos estreitos
Tratamento de Fase I
Mordida cruzada posterior
Tratamento cirúrgico
Dentes geralmente mais retos
Class II
Class III
Mordida cruzada anterior
Espaçamento
Mordida aberta
Apinhamento dentário
Mordida profunda
Extração
Avanço mandibular
Discrepância na linha média
Arcos estreitos
Tratamento de Fase I
Mordida cruzada posterior
Tratamento cirúrgico
Dentes geralmente mais retos
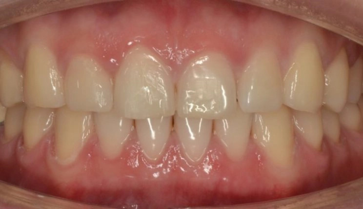
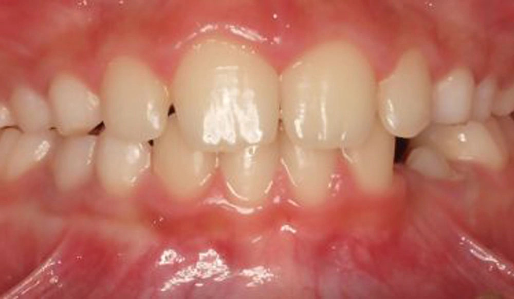
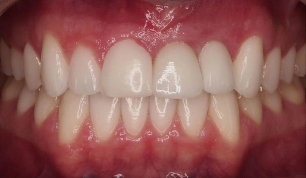
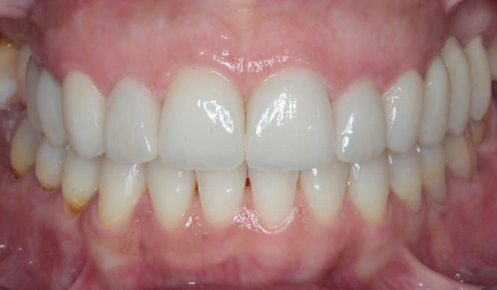
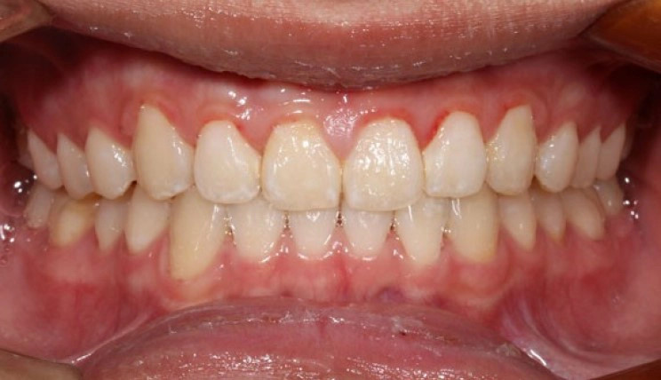
Class II




Classe II - ou “sobremordida” - é a condição em que a cúspide mésio-vestibular do primeiro molar superior é posicionada mesialmente ao sulco mésio-vestibular do primeiro molar inferior em vez de ambos estarem alinhados, afetando a relação oclusal entre os dois arcos dentários.
Informações do paciente:
Idade: 24
Sexo: Feminino
Opção de tratamento Invisalign: Invisalign Comprehensive
Tempo total de tratamento:
21 meses
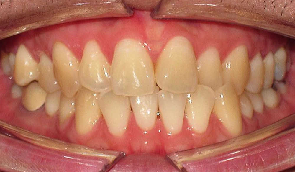
Class III




Classe III - ou “underbite” - é a condição em que a cúspide mésio-vestibular do primeiro molar superior é posicionada distalmente ao sulco mésio-vestibular do primeiro molar inferior em vez de ambos estarem alinhados, afetando a relação oclusal entre os dois arcos dentários.
Informações do paciente:
Idade: 27
Sexo: Feminino
Opção de tratamento Invisalign: Invisalign Comprehensive
Tempo total de tratamento:
28 meses
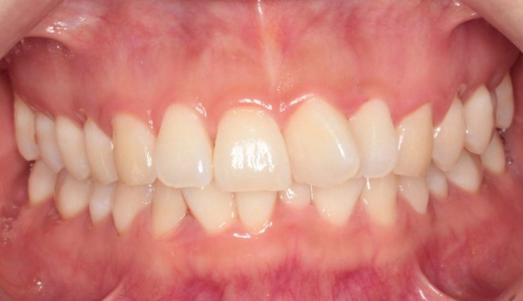
Mordida cruzada anterior




A mordida cruzada anterior é a relação vestíbulo-lingual anormal entre um ou mais dentes anteriores superiores e inferiores, resultando nos dentes superiores sendo posicionados lingualmente aos dentes inferiores.
Informações do paciente:
Idade: 31
Sexo: Masculino
Opção de tratamento Invisalign: Invisalign Comprehensive
Tempo total de tratamento:
17 meses
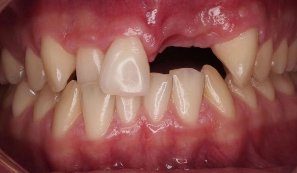
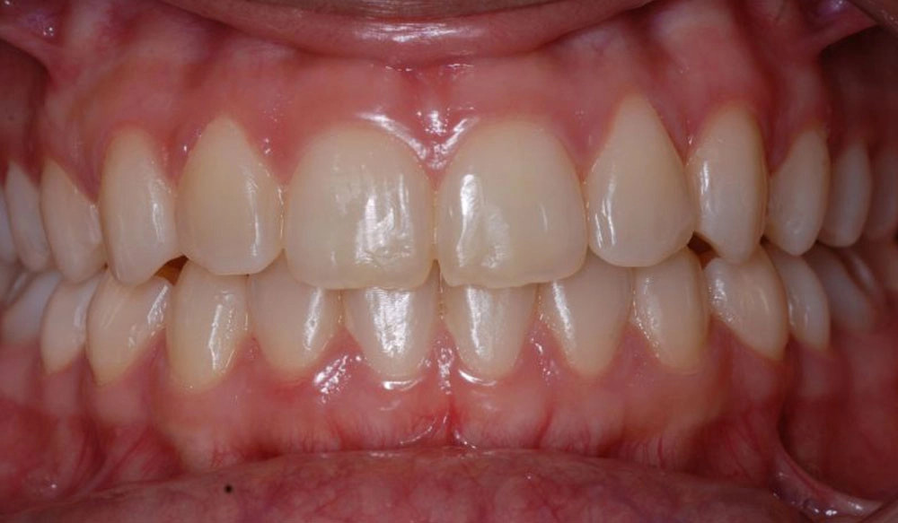
Espaçamento




Espaçamento - ou “dentes separados” - é a condição em que há espaço excessivo entre os dentes adjacentes na arcada dentária.
Informações do paciente:
Idade: 29
Gênero: Masculino
Opção de tratamento Invisalign: Invisalign Go
Tempo total de tratamento:
7 meses
Mordida aberta




Mordida aberta é a condição em que não há sobreposição vertical dos dentes anteriores na oclusão cêntrica. Pode ser limitada aos dentes anteriores ou incluir alguns dentes posteriores também.
Informações do paciente:
Idade: 29
Sexo: Feminino
Opção de tratamento Invisalign: Invisalign Comprehensive
Tempo total de tratamento:
19 meses
Apinhamento dentário




O apinhamento é a condição em que existe uma discrepância entre o tamanho do dente e o espaço disponível para os dentes serem alinhados na arcada dentária
Informações do paciente:
Idade: 17
Gênero: feminino
Opção de tratamento Invisalign: Invisalign Comprehensive
Tempo total de tratamento:
29 meses
Mordida profunda




Mordida profunda é a condição na qual a sobreposição vertical dos dentes anteriores em oclusão cêntrica é maior que 30 - 40%.
Informações do paciente:
Idade: 13
Gênero: Masculino
Opção de tratamento Invisalign: Invisalign Comprehensive
Tempo total de tratamento:
24 meses
Extração




Extração é a remoção de um ou mais dentes quando uma grande quantidade de espaço precisa ser criada para alinhar e criar uma relação oclusal correta entre os dentes restantes.
Informações do paciente:
Idade: 16
Gênero: Feminino
Opção de tratamento Invisalign: Invisalign Comprehensive
Tempo total de tratamento:
16 meses
Avanço mandibular




O tratamento Invisalign® com avanço mandibular é voltado para pacientes em crescimento que apresentam maloclusão retrognática de Classe II na dentição permanente ou dentição mista tardia estável. O recurso especial das Precision Wings está integrado aos alinhadores Invisalign.
Informações do paciente:
Idade: 14
Gênero: masculino
Opção de tratamento Invisalign: Invisalign adolescente com MA
Tempo total de tratamento:
36 meses
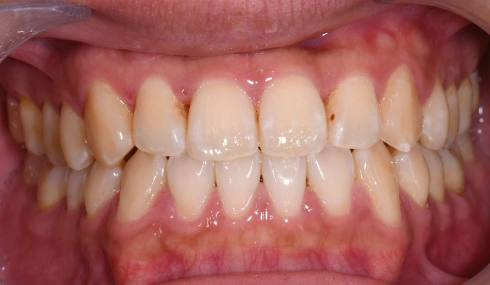
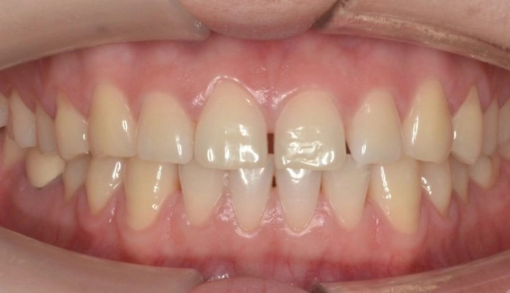
Discrepância na linha média




A discrepância na linha média é a condição em que há um desalinhamento da linha médio-sagital dos arcos maxilar e mandibular, respectivamente e/ou em relação à linha média facial.
Informações do paciente:
Idade: 28
Sexo: Feminino
Opção de tratamento Invisalign: Invisalign Comprehensive
Tempo total de tratamento:
16 meses
Arcos estreitos




Arcos estreitos é a condição em que a largura transversal dos arcos maxilares e/ou mandibulares é muito estreita para que os dentes se alinhem adequadamente e tenham bom contato oclusal.
Informações do paciente:
Idade: 21
Sexo: Feminino
Opção de tratamento Invisalign: Invisalign Comprehensive
Tempo total de tratamento:
11 meses
Tratamento de Fase I




Tratamento interceptivo para pacientes jovens (6-10 anos): O tratamento precoce pode ser do interesse do paciente se seu problema puder se tornar mais sério com o tempo caso não seja tratado. - Intercepte o problema em desenvolvimento; Elimine a causa; Oriente o crescimento dos ossos faciais e da mandíbula; Propicie um espaço adequado para a entrada dos dentes permanentes.
Informações do paciente:
Idade: 9
Sexo: Masculino
Opção de tratamento Invisalign: Invisalign adolescente com MA
Tempo total de tratamento:
13 meses
Mordida cruzada posterior




A mordida cruzada posterior é a relação vestíbulo-lingual anormal entre um ou mais dentes posteriores superiores e inferiores, resultando nos dentes superiores sendo posicionados lingualmente em relação aos dentes inferiores, ou os dentes superiores sendo posicionados tão vestibularmente em relação aos dentes inferiores que sua face lingual desliza contra as faces vestibulares inferiores.
Informações do paciente:
Idade: 24
Sexo: Feminino
Opção de tratamento Invisalign: Invisalign Comprehensive
Tempo total de tratamento:
29 meses
Tratamento cirúrgico




O tratamento cirúrgico pode ser usado em conjunto com os Alinhadores Invisalign para corrigir uma discrepância esquelética que causa uma má oclusão.
Informações do paciente:
Idade: 21
Sexo: Masculino
Opção de tratamento Invisalign: Invisalign Comprehensive
Tempo total de tratamento:
21 meses
Dentes geralmente mais retos




Alguns sorrisos não têm nada de “errado” com eles - mas pequenas soluções podem fazer uma grande diferença na vida de um paciente. Com o tratamento Invisalign®, seus pacientes agora podem obter um sorriso que eles vão adorar até 50 por cento mais rápido.
Informações do paciente:
Idade: 62
Sexo: Feminino
Opção de tratamento Invisalign: Invisalign Comprehensive
Tempo total de tratamento:
13 meses








