Invisalign é
o primeiro passo em direção ao seu melhor sorriso
Com base em anos de pesquisa e evidências clínicas1, o Sistema Invisalign® Palatal Expander proporciona uma abordagem revolucionária para a expansão esquelética.2




Descubra os muitos benefícios do tratamento interceptivo com o Sistema Invisalign Palatal Expander.
Projetado com você e seus pacientes em mente, ele torna o tratamento mais fácil1 e mais conveniente3.


Tratamento seguro e clinicamente eficaz2
O tratamento com Invisalign Palatal Expander te ajuda a alcançar objetivos clínicos relacionados à disjunção da sutura palatinal medial.3


Fluxo de trabalho único, simples e digital
Facilmente integrado ao fluxo de trabalho digital a partir de um escaneamento simples com iTero™.


Menos tempo de cadeira
Mias praticidade e menos visitas de emergência.4


Experiência positiva para o paciente
O Sistema Invisalign Palatal Expander entrega o resultado que você precisa, em uma experiência mais confortável para seus pacientes.5


Tratamento seguro e clinicamente eficaz2
O tratamento com Invisalign Palatal Expander te ajuda a alcançar objetivos clínicos relacionados à disjunção da sutura palatinal medial.3


Fluxo de trabalho único, simples e digital
Facilmente integrado ao fluxo de trabalho digital a partir de um escaneamento simples com iTero™.


Menos tempo de cadeira
Mias praticidade e menos visitas de emergência.4


Experiência positiva para o paciente
O Sistema Invisalign Palatal Expander entrega o resultado que você precisa, em uma experiência mais confortável para seus pacientes.5
Conheça o design moderno do Invisalign Palatal Expander.
Com o Sistema Invisalign Palatal Expander, os pacientes têm mais conforto6.
• Superfície lingual suave para conforto do paciente.
• Cobertura palatal com espessura recomendada para se ajustar a cada paciente.
• Alça de remoção para facilitar a inserção e remoção do aparelho.


Redefina a experiência para seus pacientes e sua equipe.
Simplifique seu fluxo de trabalho com o Sistema Invisalign Palatal Expander.

Inserção do aparelho com o Sistema Invisalign Palatal Expander.
Os disjuntores são fáceis de inserir, a maior parte das crianças consegue coloca-los sozinha. Além disso, os Invisalign Palatal Expanders são fáceis de remover, facilitando a higiene oral.
Interceptar um problema em desenvolvimento que pode se agravar ao longo do tempo se não for tratado.
Detalhes do escopo clínico do Sistema Palatal Expander.
Indicações para tratamento: O sistema é usado para expansão rápida e posterior fixação dos maxilares esqueléticos e/ou dentais estreitos (mandíbula superior, arco dental e dentes, palato) com dentição primária, mista ou permanente durante o tratamento ortodôntico ou ortopédico.
Perfil do paciente: pacientes em fase de crescimento ou adultos (junto à cirurgia ou outras intervenções, quando necessário).
Número de expansores e contenções palatais: ilimitados, com data de vencimento do tratamento em 18 meses.
Tempo comum de tratamento: Cerca de 1 mês de expansão ativa, dependendo da gravidade do caso.




Veja o que seus colegas estão dizendo sobre essa forma inovadora de tratar casos de Fase I.
O Sistema Invisalign Palatal Expander é mais confortável e tão eficaz quanto outros modelos de tratamento6.
dos ortodontistas credenciados que responderam à pesquisa, recomendariam o Sistema Invisalign Palatal Expander para os seus colegas7.
dos pacientes tratados com o Sistema Invisalign Palatal Expander aderiram ao uso correto do aparelho durante o tratamento8.
dos ortodontistas credenciados que responderam à pesquisa, concordaram que crianças tratadas com o Sistema Invisalign Palatal Expander experimentam uma melhor qualidade de vida9.
dos ortodontistas credenciados que responderam à pesquisa, recomendariam o Sistema Invisalign Palatal Expander para os seus colegas7.
dos pacientes tratados com o Sistema Invisalign Palatal Expander aderiram ao uso correto do aparelho durante o tratamento8.
dos ortodontistas credenciados que responderam à pesquisa, concordaram que crianças tratadas com o Sistema Invisalign Palatal Expander experimentam uma melhor qualidade de vida9.
Destrave o poder da simplicidade.
Entregue um tratamento adaptado para expansão progressiva com fluxo de trabalho simplificado.
Passo 1: os disjuntores e contenções palatais são customizados e impressos em 3D, desenhados de forma personalizada para a anatomia única do paciente a partir do escaneamento com iTero™.
Passo 2: O paciente progride em uma série de expansores removíveis em pequenos incrementos.
Passo 3: Assim que a expansão desejada é alcançada, os fixadores Invisalign Palatal são substituídos a cada 2-4 semanas para estabilizar o palato.
Observação: Os expansores e fixadores são mantidos no lugar usando attachments** que são fixados aos dentes do paciente para ajudar a manter o aparelho no lugar.




Transição suave para o tratamento Invisalign First™.
Combinado com os alinhadores Invisalign FirstTM proporcionam aos dentistas solução de tratamento de intervenção precoce completa, incluindo a expansão do arco esquelético (ortopédica) e dental (ortodôntica). Saiba mais sobre o tratamento de Fase I com os alinhadores Invisalign First.




Descubra o tratamento de impacto transformador com o Invisalign Palatal Expander System.
Ouça diretamente dos seus colegas sobre sua experiência com os Invisalign Palatal Expanders.


Explore os estudo de caso de destaque.
Juntos estamos avançando na forma em que o tratamento interceptivo precoce é entregue aos pacientes em fase de crescimento.
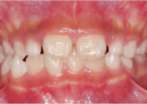
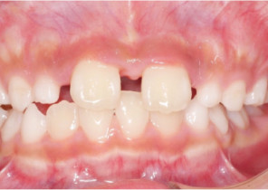
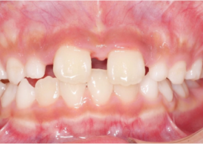
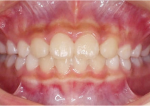
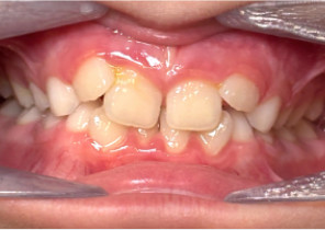
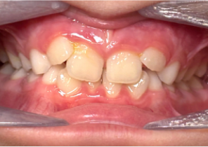
Caso Reportado 1
10 anos e 0 meses, 18 estágios de Invisalign Palatal Expanders
Cortesia da Dra. Sandra Khong Tai


Expansão do Pre Invisalign Palatal Expander


Expansão do Pós Invisalign Palatal Expander


Após o primeiro tratamento com Invisalign


Expansão do Pre Invisalign Palatal Expander


Expansão do Pós Invisalign Palatal Expander


Após o primeiro tratamento com Invisalign
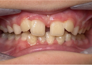
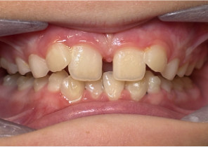
Caso Reportado 2
7 anos e 11 meses, 24 etapas de Invisalign Palatal Expanders
Cortesia do Dr. David R. Boschken


Expansão do Pré Invisalign Palatal Expander


Expansão do Pós Invisalign Palatal Expander


Tratamento do Pós Invisalign Palatal Expander


Expansão do Pré Invisalign Palatal Expander


Expansão do Pós Invisalign Palatal Expander


Tratamento do Pós Invisalign Palatal Expander
Perguntas frequentes
Para perguntas adicionais ou para obter o guia de perguntas frequentes completo, entre em contato com seu representante Invisalign.
1. O que é o Sistema Invisalign® Palatal Expander?
O Sistema Invisalign Palatal® Expander (IPE) é o primeiro dispositivo ortodôntico impresso em 3D (fabricado por aditivo) direto da Align para tratar da expansão esquelética em pacientes em crescimento. Ele consiste em uma série de expansores palatinos Invisalign® removíveis prescritos por médicos e suportes palatinos Invisalign®.
2. O IPE é feito de que?
Os expansores palatinos Invisalign e os suportes palatinos Invisalign são feitos de poliamida-12, um polímero também conhecido como náilon 12, um tipo de náilon.
3. Quantos mm/dia de expansão? Posso controlar a expansão para ser menor por estágio?
Após o estágio 0 (passivo), cada estágio é programado para expansão ativa, com 0,25 mm de movimento por estágio.
Os expansores podem ser substituídos diariamente para expansão rápida ou trocados com menos frequência (por exemplo, 2 ou 3 dias), ou a critério do médico, com base na resposta biológica do paciente.
4. Qual a aplicabilidade do caso odontológico para IPE?
A aplicabilidade do caso odontológico deve ser seguida. Pacientes aplicáveis:
3 dentes estáveis por quadrante no arco superior
Altura da coroa de pelo menos 4 mm
Primeiros molares permanentes (6s)
Primeiros molares primários (Ds) ou primeiro pré-molar (4s)
Segundos molares primários (Es) ou segundo pré-molar (5s)
Segundos molares permanentes (7s) podem ser irrompidos, mas o dispositivo não os cobrirá
Caninos (Cs/3s) podem ser irrompidos, mas o IPE não os cobrirá
Pode não ser aplicável:
Coroas clínicas curtas:
A falta de retenção do dispositivo ou dificuldade na colagem do acessório pode ocorrer em dentes com coroas clínicas curtas (< 4 mm) ou primeiros molares permanentes superiores instáveis, segundos molares primários superiores e primeiros molares primários superiores.
Restaurações dentárias:
Retenção insuficiente do dispositivo, força excessiva nas restaurações dentárias e/ou dificuldade na colagem de fixação podem ocorrer em dentes com coroas de aço inoxidável ou outros tipos de restaurações dentárias:
Pacientes com coroas de aço inoxidável podem ser elegíveis para tratamento a critério do médico (observe que o dispositivo Invisalign First Palatal Expander cobrirá esses dentes)
Pacientes com condições palatinas:
Exostose ou fenda palatina
Não aplicável para tratamento:
dentes ausentes sob o IPE (ou seja, D/4, E/5 e 6)
somente dentição primária (ou seja, 6 ainda não irrompidos)
5. Quantas etapas? Eles são enviados todos de uma vez? É 1 de cada estágio ou 2 que é enviado?
Uma série de expansores palatinos Invisalign é enviada como 1 dispositivo por estágios. Quaisquer estágios adicionais precisam ser solicitados no formulário de prescrição.
O número de estágios é determinado pelo médico com base nos objetivos clínicos:
O número de estágios do expansor é determinado com base na quantidade desejada de expansão, conforme especificado no formulário Rx: cada estágio é programado para 0,25 mm/dia, a quantidade máxima de expansão que pode ser solicitada é 12 mm. O médico pode interromper a expansão a qualquer momento com base na observação/preferência clínica e solicitar os suportes palatinos Invisalign. Os suportes palatinos Invisalign precisam ser solicitados separadamente no formulário de prescrição.
O número de estágios de espera também é determinado pelo médico com base no período de duração da espera (em semanas). O suporte é uma cópia do último estágio do expansor destinado a estabilizar o palato após a expansão ativa, substituído a cada 2-4 semanas.
Os expansores e suportes são enviados separadamente. Os suportes são fabricados depois que a expansão ativa desejada é atingida e o médico especifica no formulário de prescrição em que estágio iniciar a fase de retenção.
6. Qual é a espessura de cada estágio? É o mesmo para cada etapa?
A espessura do dispositivo é personalizada com base na anatomia única de cada paciente. A espessura da região palatina também é fabricada sob medida para conforto.
7. O IPE cria força/pressão iguais para cada estágio? Ou a força/pressão varia?
O dispositivo tem como objetivo aplicar a mesma força transversal ou uma força semelhante em cada estágio do tratamento, mas essa força pode variar de acordo com a anatomia do paciente.
8. Os pacientes precisam retirar o IPE para comer? Se eles podem comer com IPE, algum alimento/bebida deve ser evitado?
Os pacientes não precisam remover os dispositivos para comer ou beber. No entanto, é recomendado enxaguar bem a boca após cada refeição.
Cuidado: Mastigar alimentos duros, pegajosos ou açucarados (incluindo goma de mascar) pode danificar o dispositivo e/ou os dentes do paciente e deve ser evitado. Beber bebidas açucaradas ou ácidas pode danificar os dentes do paciente e deve ser evitado.
Os pacientes devem escovar os dentes e usar fio dental antes de inserir o dispositivo. Se não tiverem acesso a uma escova de dentes, podem simplesmente enxaguar a boca e limpar os dispositivos segurando-os em água corrente.
Os pacientes não devem jogar fora os sacos originais, pois eles serão usados para armazenar os dispositivos usados.
Observação: Os médicos devem avaliar se um paciente em particular deve remover o dispositivo enquanto come (considere a idade do paciente e a capacidade de remover e reinserir o dispositivo) e devem aconselhar os pacientes e os adultos supervisores a seguir a higiene oral adequada e as instruções de uso e cuidados. Os médicos devem encaminhar os pacientes para as Instruções de uso e cuidados do paciente. Uma cópia impressa pode ser solicitada através do site do Invisalign Doctor “Guia de suporte”
9. Quais scanners posso usar?
Com base na aplicabilidade atual do processo comercial, a Align Technology, Inc. atualmente aceita escaneamentos usando apenas scanners intraorais digitais iTero disponíveis comercialmente (oferecidos pela Align Technology, Ltd.). Nenhum escaneamento de terceiros/impressões PVS são aceitos. Consulte o manual do usuário do scanner iTero para obter instruções completas de uso.
Ao escanear para tratamento de expansão palatina, seus escaneamentos devem capturar as superfícies do palato, gengiva e coroa.
Todos os scanners intraorais digitais da marca iTero podem ser usados com o Invisalign Palatal Expander System. Verifique o site da iTero ou entre em contato com o suporte ao cliente para obter uma lista de scanners disponíveis em seu mercado.
10. Que material de fixação posso usar?
Aproveite o guia de início rápido do IPE para obter uma lista de agentes de ligação e compósitos recomendados para uso com o Invisalign Palatal Expander System com base em testes de ligação por cisalhamento realizados pela Align Technology. Link para o guia.
11. A quais dentes os acessórios estão ligados?
6s e Es (alternativamente, se os 5s tiverem irrompido o suficiente, eles terão anexos)
12. Qual é a cobertura dentária para IPE/quantos dentes são cobertos com IPE?
3 dentes (Ds, Es, 6s) são cobertos, mas os acessórios são colados em 2 dentes