Integração CBCT no software ClinCheck Pro
Gera automaticamente um modelo 3D com raízes, coroa e osso para um planejamento de tratamento mais detalhado.




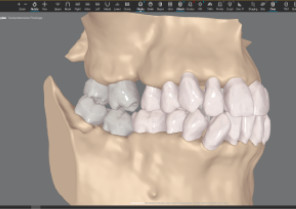
Veja raízes, coroas e ossos dos pacientes em um modelo 3D gerado automaticamente com a nova integração de CBCT.
Maximiza a eficiência de ferramentas poderosas do ClinCheck, como Controles 3D.
Mostra renderizações de raízes reais e visualizações de ossos com base em dados reais de digitalização.
Simula o movimento da raiz junto com o movimento do dente.
Ajuda você a aproveitar sua experiência em uma ampla gama de más oclusões.
Informa o seu planejamento de tratamento Invisalign®.




Planejamento de tratamento mais informado para uma ampla gama de más oclusões.
Cirúrgico
Restaurador
Expansão/Extração
Caso adolescente com dentes impactados ou não erupcionados


Habilite a funcionalidade CBCT no ClinCheck Pro em 4 etapas fáceis para trabalhar em uma plataforma integrada.


Passo 1
Ao enviar um caso, na aba "Scan's & Impressions" marque "CBCT" na seção CBCT Scan.


Passo 2
Carregue seus arquivos/pastas CBCT.


Passo 3
Selecione o tipo de paciente adulto ou adolescente e o pacote abrangente.


Passo 4
Inicie seu processo de planejamento de tratamento no ClinCheck Pro aproveitando o botão "Roots" agora habilitado na barra de ferramentas.


Passo 1
Ao enviar um caso, na aba "Scan's & Impressions" marque "CBCT" na seção CBCT Scan.


Passo 2
Carregue seus arquivos/pastas CBCT.


Passo 3
Selecione o tipo de paciente adulto ou adolescente e o pacote abrangente.


Passo 4
Inicie seu processo de planejamento de tratamento no ClinCheck Pro aproveitando o botão "Roots" agora habilitado na barra de ferramentas.
Três novas visualizações em uma plataforma integrada para aprimorar o planejamento do tratamento.


Somente raízes


Raízes com osso semitransparente


Raízes e osso


Somente raízes


Raízes com osso semitransparente


Raízes e osso
Perguntas Frequentes
Como devo interpretar a visualização da forma/fenestrações/saliências ósseas no software ClinCheck?
Instruções detalhadas estão localizadas na página Invisalign Doctor Site Education no documento A001623 Rev A, CBCT Protocol Information.
Quais são os requisitos de uma tomografia computadorizada de feixe cônico (CBCT) válida ou aceitável para o planejamento do tratamento Invisalign®?
Abaixo estão os requisitos, recomendações e uma nota importante:
Requisitos
O exame CBCT deve ser fornecido no formato DICOM
Como um único arquivo .dcm grande (geralmente muito maior que 100 MB) contendo todas as camadas do exame CBCT.
Ou como uma lista de arquivos .dcm pequenos (geralmente cerca de vários MB) - cada arquivo contém uma única camada do exame CBCT. O exame CBCT orto típico contém várias centenas de camadas.
O Align aceita tamanhos de exames CBCT “orto” iguais ao Tamanho A (vermelho), B (verde) ou C (roxo), conforme ilustrado na Figura 1. Observação: Os exames de Tamanho A e B serão automaticamente truncados para o Tamanho C no plano de tratamento final do ClinCheck. Os exames de Tamanho D (amarelo) e E (azul) não são suportados.
A área de exame CBCT deve cobrir totalmente todos os dentes com suas raízes, bem como dentes não irrompidos/parcialmente irrompidos/impactados com suas raízes (se houver).
Recomendações
A resolução recomendada para exame CBCT não é menor que 0,3 mm (qualquer dimensão). O Align aceitará exames CBCT com resolução mais baixa, mas esteja ciente de que a precisão do modelo 3D resultante de raízes e osso diminuirá de acordo.
O Align recomenda usar as configurações recomendadas pelo fabricante da máquina CBCT para fazer exames CBCT ortodônticos destinados ao planejamento do tratamento Invisalign
Observação Importante:
O SLA de configuração do caso CBCT (tempo de resposta do momento do envio do caso até o momento em que o plano de tratamento no ClinCheck estiver pronto para revisão do dentista) é o mesmo que para o caso Invisalign® Comprehensive sem CBCT. Esteja ciente de que este SLA é aplicável somente para exames CBCT feitos com um scanner da lista de scanners CBCT oficialmente suportados (veja abaixo). Se você carregar um exame CBCT do scanner CBCT que não esteja na lista oficial de suporte, a Align tentará processá-lo, mas não podemos garantir nenhum tempo de resposta para esse caso.
Quais parâmetros de exposição/níveis de radiação devo aplicar no scanner CBCT?
Consulte o manual do usuário do scanner CBCT para obter as configurações recomendadas (campo de visão (FOV), tensão do tubo (kVp), tempo de exposição da corrente do tubo (mA), arco de rotação). Se o manual do usuário não contiver as instruções necessárias, entre em contato com o fornecedor do seu scanner CBCT para obter recomendações.
Devo fazer tomografia computadorizada com mordida fechada ou com mordida ligeiramente aberta?
Mordida levemente aberta é preferível, embora você também possa prosseguir com exames de mordida fechada.
E se meu scanner CBCT não conseguir exportar para um DICOM válido (aceitável)?
Consulte o manual do usuário do scanner CBCT sobre como exportar o exame CBCT para o formato DICOM. Se o manual do usuário não contiver as instruções necessárias, entre em contato com o fornecedor do seu scanner CBCT para obter recomendações.
Que tipo de tomografia computadorizada (DICOM) é considerada inválida para o planejamento do tratamento Invisalign?
Os seguintes cenários resultam em um exame CBCT inválido (DICOM)
Exame CBCT incompleto - com camadas faltando
Exame CBCT de outro paciente
Exame CBCT com posição das raízes que difere da posição das coroas no exame intraoral enviado junto com o exame CBCT para o paciente (por exemplo, o exame CBCT feito em outro estágio do tratamento ortodôntico em comparação com o exame intraoral)
Exame CBCT quebrado - com um ou vários arquivos DICOM faltando ou danificados
Exame CBCT truncado - que não cobre todos os dentes e raízes totalmente irrompidos, bem como dentes e raízes não irrompidos/parcialmente irrompidos/impactados (se houver).
Exames CBCT de baixa qualidade com contraste muito baixo, superexposição e/ou imagem borrada (devido ao movimento do paciente durante o exame). Veja o exemplo (Figura 3)
Quanto tempo levaria para carregar uma tomografia de CBCT?
O upload do exame CBCT deve levar cerca de 5 min para conexão de internet de 30 Mbit/s e não mais do que 2 min para conexão de internet de 100 Mbit/s
Posso fazer upload de exames de CBCT de vários pacientes simultaneamente?
Sim. Inicie os pacientes em diferentes abas do navegador. Para cada paciente, uma aba separada do carregador de CBCT será aberta assim que você escolher a opção de CBCT para esse paciente.
E se o upload dos relatórios do uploader CBCT falhar?
O carregador de CBCT oferecerá a você o reenvio do exame. Em caso de segunda tentativa malsucedida, entre em contato com o suporte Técnico e informe o ID do Paciente (PID) do caso.
A visibilidade da raiz será mostrada ao longo das diversas etapas ou será apenas na etapa inicial e na etapa final?
Raízes reais e um osso de referência (um modelo ósseo estático conforme segmentado do exame CBCT) são visíveis em todo o plano de tratamento
Quantos exames de CBCT podem ser carregados para o paciente?
É possível enviar até oito (8) exames de CBCT para um paciente. Em cada prescrição (pedido), apenas um desses exames pode ser usado.
E se eu carreguei uma tomografia CBCT errada (inválida)?
Se o Align informar que seu exame de CBCT enviado está errado (inválido), você pode consultar as 2 opções abaixo,
Reenviar o exame de CBCT para o caso
Cancelar a opção de CBCT para o caso e prosseguir com a configuração sem dados de CBCT
Posso adicionar um exame de CBCT a um pedido abrangente existente?
Um exame de CBCT pode ser adicionado a um pedido Abrangente criado anteriormente se o pedido ainda não tiver sido enviado. Se o Rx já tiver sido enviado, um exame CBCT não poderá ser adicionado. Pedidos de alinhadores adicionais podem ser enviados sem um exame CBCT, mesmo que o pedido principal tenha sido enviado com um exame CBCT.
É possível mudar de um produto de estágio limitado (como Leve, Moderado) para um Abrangente com CBCT?
Sim
O que aconteceria se eu mudasse de um produto abrangente com CBCT para um produto de estágio limitado (como Leve, Moderado)?
Você pode fazer isso, mas os dados CBCT (raízes e osso) desaparecerão do seu novo Plano de Tratamento criado para um produto de estágio limitado.
Os valores de movimentação radicular na Tabela de Movimentação Dentária serão atualizados para refletir as raízes reais em casos com dados de CBCT?
Não, o TMT ainda exibirá os valores para as raízes virtuais. Esta melhoria está planejada para uma versão futura.
Quais scanners de CBCT são compatíveis com o planejamento de tratamento Invisalign?
Os scanners suportados estão sendo constantemente adicionados. Certifique-se de que seu scanner atenda aos requisitos e envie o exame. Você será notificado se um exame inaceitável for enviado.
Posso enviar exames de CBCT de scanners não listados como compatíveis com o planejamento de tratamento Invisalign e isso afetará meu pedido?
Pedidos com exames de scanners CBCT não listados como compatíveis serão tentados. Se surgirem problemas, o cliente será notificado e o exame CBCT será removido do pedido. O prazo de entrega padrão pode ser afetado.
Qual é o processo de envio de casos para pedidos com opção de integração CBCT?
Os detalhes do processo de envio de caso são descritos no módulo de treinamento localizado no site da Align Education - página inicial da Integração CBCT
Haverá uma diferença no tempo de resposta para um plano de tratamento ClinCheck com a opção CBCT em comparação com um plano sem?
Vários fatores afetam o tempo de entrega padrão, mas espera-se que o tempo de resposta seja semelhante.
Os scans adicionais de CBCT carregados levam a uma melhor precisão nas renderizações de raiz?
O upload de vários exames não aumenta a precisão do modelo.
As impressões PVS e os scans CBCT podem ser enviadas juntas para um caso com CBCT?
Não. A integração CBCT só pode ser suportada para casos enviados com os scanners iTero ou outros scanners intraorais de terceiros suportados.
Se eu estiver usando o Plano Personalizado Invisalign ou outro modelo de preferências, posso enviar um pedido com uma tomografia CBCT usando o Flex Rx?
Sim
Posso exportar um plano de tratamento integrado de CBCT?
Sim, a opção de exportação de filme e tela exportará a visualização atualmente ativa no software ClinCheck (ou seja, apenas raízes).
Quais são as diretrizes para o envio de exames de CBCT com implantes restauradores artificiais?
Não há diretrizes especiais.
É necessária um novo scan CBCT para pedidos de alinhadores adicionais?
Se você optar por carregar um exame CBCT para o pedido de Alinhador Adicional, deve ser um novo exame, no entanto, os pedidos de Alinhador Adicional podem ser enviados sem um exame CBCT, mesmo que o pedido principal tenha sido enviado com um exame CBCT.
Como se comportará a margem gengival em configurações com integração de CBCT onde o médico também pode ver a margem óssea crestal?
A margem cervical continuará a se comportar como atualmente. Ela seguirá o dente.
O recurso de grade e régua suportará medição de raiz?
Sim
Onde posso obter informações adicionais sobre como modificar planos de tratamento com integração de CBCT?
Detalhes sobre o processo de modificação de caso são descritos no módulo de treinamento localizado no site Align Education - página inicial de integração CBCT
Quais produtos, recursos ou versões do ClinCheck são suportados pelo software CBCT Integration for ClinCheck?
Produtos Suportados:1
Pacote abrangente (Adulto e Adolescente) - Sim
Pacote Abrangente da Fase 2 (Adolescente) - Sim
Pedidos Adicionais de Alinhadores - Sim
Software ClinCheck Pro 6.0 - Sim
ClinCheck Live Update para controles 3D - Sim
Invisalign Personalized Plan, GLR ou casos MLS - Sim
Avanço Mandibular - Não
Visualização Facial - Não
1- Todos os outros produtos Invisalign além dos mencionados
acima não são suportados.
O Plano Personalizado Invisalign e o ClinCheck Live Update para controles 3D serão compatíveis com a integração CBCT?
Sim, ClinCheck Live Update e Invisalign Personalized Plan, GLR ou MLS ou outros modelos de preferências são suportados.
Quais são as versões de navegadores e dispositivos suportados?
O recurso de integração CBCT faz parte do software ClinCheck Pro e utiliza os mesmos navegadores e dispositivos. Consulte o Guia do Usuário do Software ClinCheck mais recente localizado na página Invisalign Education (pesquise “guia do usuário”)



